Home
Main album page
Links1
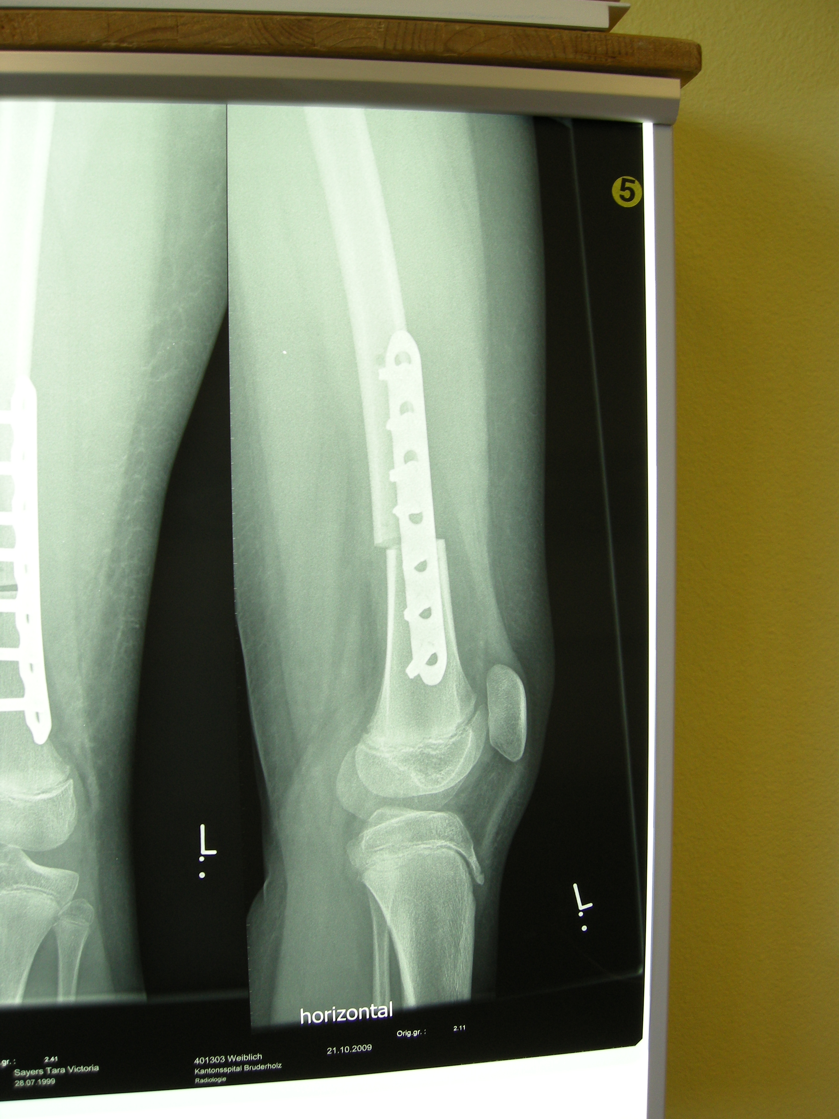
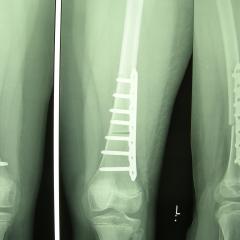
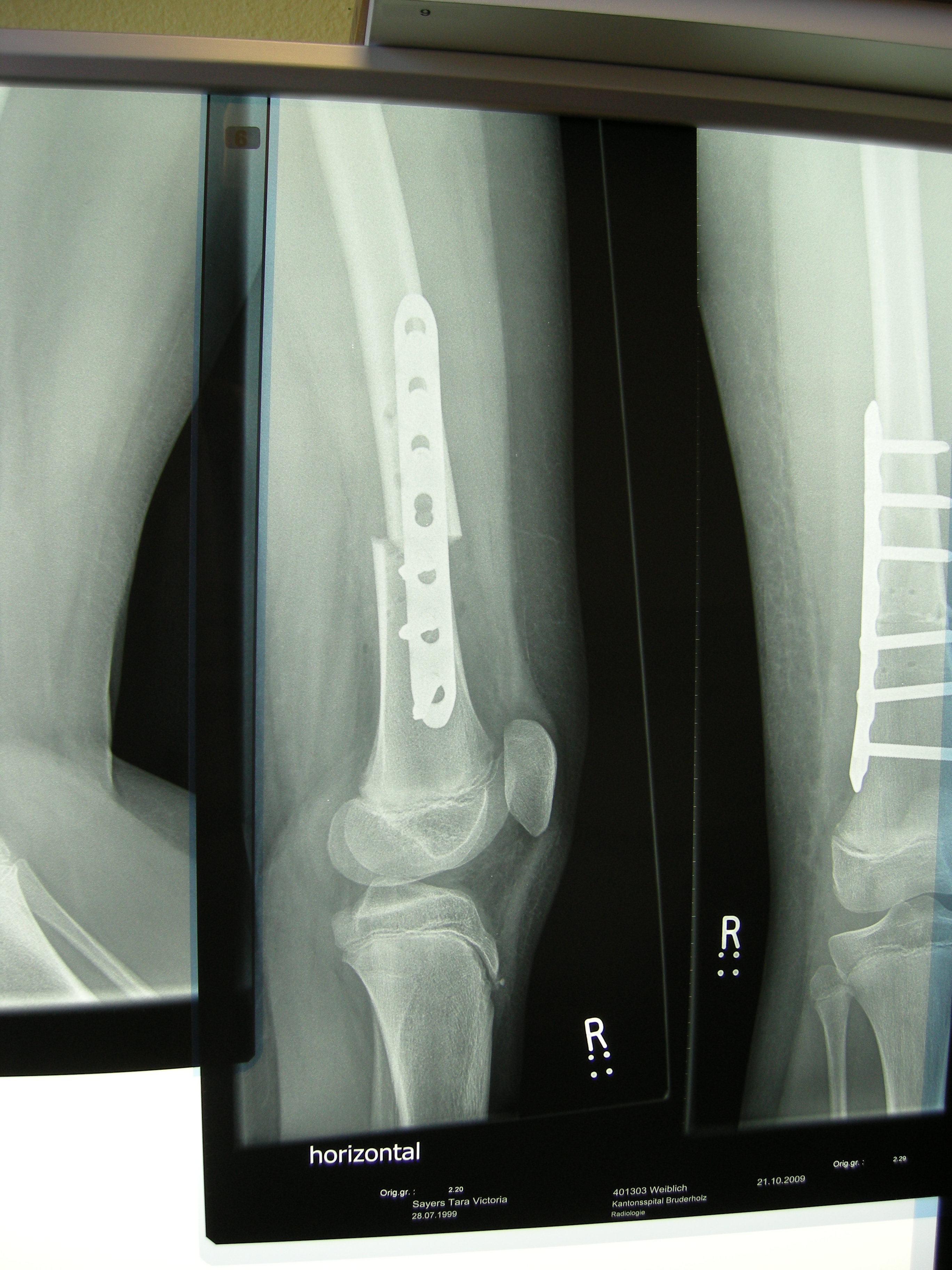
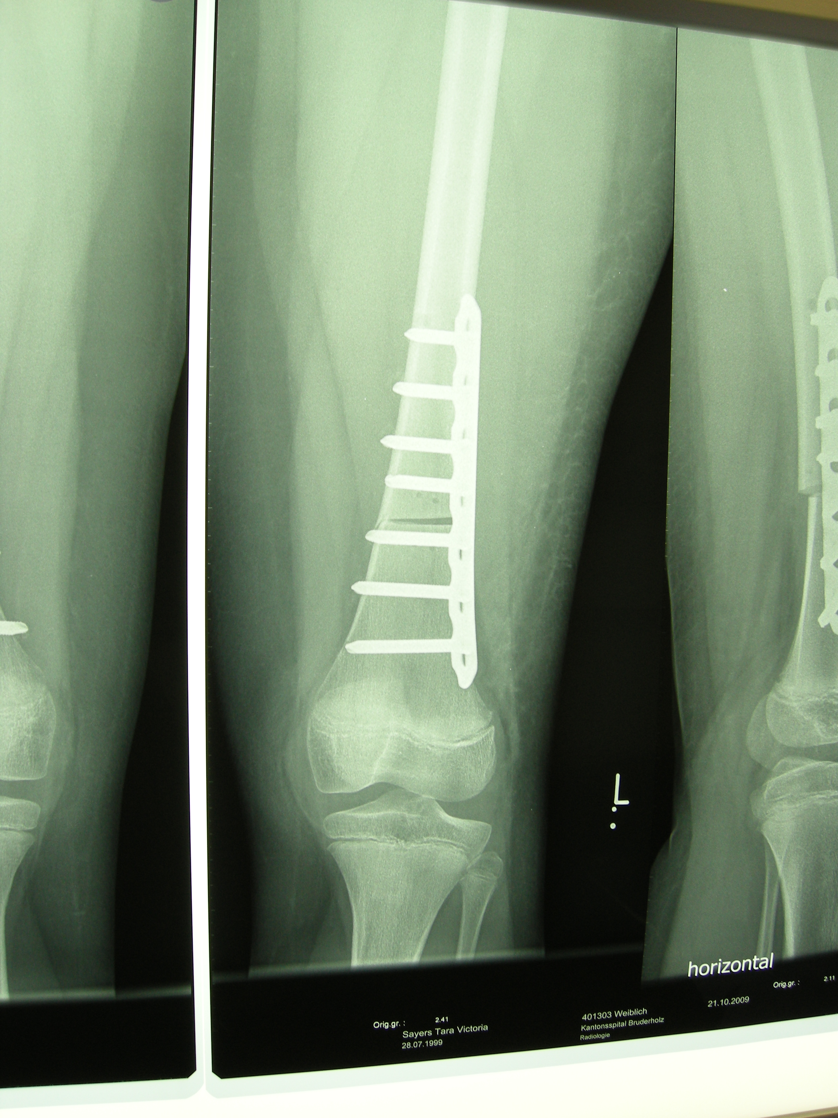
XRays
ACSPhoto
2009
Hospital
Feb Blists Hill
All images copyright ACSPhoto / Andrew Sayers - All rights reserved
Share album
XRays
XRays